2024年10月24日,北京大学口腔医院胡文杰教授课题组在国际口腔医学领域权威期刊《临床牙周病学杂志》(Journal of Clinical Periodontology,JCR分区Q1)发表了题为《III/IV期牙周炎患者磨牙拔牙位点实施微翻瓣牙槽嵴保存术后的软硬组织变化:一项随机对照临床试验》的研究论文(Assessment of soft and hard tissue changes following micro crestal flap-alveolar ridge preservation and augmentation at molar extraction sites in patients with stage III/IV periodontitis: a randomized controlled trial. DOI: 10.1111/JCPE.14045)。北京大学口腔医院牙周科博士后张浩筠和急诊科徐涛副主任医师是本文共同第一作者,胡文杰教授是本文通讯作者。

该研究通过分析多维度数据,评价该课题组首创的微翻瓣牙槽嵴保存术式效果。其研究结果证实,罹患重度牙周炎的磨牙在拔牙同期实施微翻瓣牙槽嵴保存术能够显著减少缺牙区牙槽骨吸收,实现牙槽嵴骨量保存和骨增量,维持缺牙区软硬组织自然轮廓,使后续种植治疗的复杂性和难度显著降低,为重度牙周炎磨牙失牙位点的临床处理决策提供了依据。本文首次提出了微翻瓣牙槽嵴保存术的正式英文名词——Micro Crestal Flap-Alveolar Ridge Preservation(MCF-ARP)。该文在专业领域权威期刊的发表,标志着该课题组首创的微翻瓣牙槽嵴术正式向国际推广,极大增强其在国际学术领域的影响力。

上图:拔牙同期实施微翻瓣牙槽嵴保存术前至术后6月随访,口内扫描见缺牙区软硬组织轮廓丰满
下图:拔牙后自然愈合术前至术后6月随访,口内扫描见缺牙区软硬组织轮廓塌陷
中国成年人牙周健康率不足10%,牙周炎也是我国成年人失牙的首位原因,磨牙承担主要的咀嚼功能,也是牙周炎的好发牙位。一旦因重度牙周炎导致磨牙缺失,将直接影响患者的咀嚼功能,降低生活质量。此类患牙失牙位点常存在严重的软硬组织缺陷,妨碍种植治疗的实施。因此,针对牙周炎磨牙失牙患者,在缺牙区创造良好的软硬组织条件,为种植治疗和种植体长期健康保驾护航是临床处置的焦点和难点。胡文杰教授课题组基于中国牙周炎患病的国情特点和临床迫切需要,针对这一临床焦点问题,在过去十年间开展了临床系列研究,研究成果多次发表于国内外高水平期刊,关键研究图片3次被选为国际口腔种植学权威期刊《临床口腔种植学研究杂志》(Clinical Oral Implants Research,JCR分区Q1)封面。
该课题组首先探索了重度牙周炎磨牙拔除后牙槽窝的愈合特征和改建规律,揭示此类患牙在拔牙前即存在不同程度的牙槽骨吸收,拔牙后自然愈合过程中有进一步的骨宽度和高度降低,造成缺牙区骨量不足,影响后续种植治疗。相关研究成果发表于国际口腔种植学权威期刊《临床口腔种植学研究杂志》(Clinical Oral Implants Research),其关键研究图片首次被选为杂志封面(2019年4月刊,DOI: 10.1111/clr.13418)。

随后,该研究团队创新性地将牙槽嵴保存技术应用于因重度牙周病变拔除的磨牙区,将手术干预关口前移至拔牙即刻,证实牙槽嵴保存术可减少缺牙区牙槽骨吸收,实现软硬组织的保存或增量,达到降低种植治疗难度、提高种植治疗安全性的目的。相关研究成果陆续发表于国际知名口腔种植学术期刊(Clinical Implant Dentistry and Related Research, Clinical Oral Investigations, BMC oral health, International Journal of Periodontics & Restorative Dentistry等),在国内外口腔种植学界引起关注,为该领域提供了中国经验。

上图:罹患重度牙周磨牙拔牙自然愈合后6月,拟行种植治疗位点牙槽嵴轮廓塌陷
下图:罹患重度牙周磨牙拔牙同期牙槽嵴保存术后6月,拟行种植治疗位点牙槽嵴轮廓丰满
此外,该研究团队针对接受牙槽嵴保存术并完成种植修复的位点进行随访观察,首次对罹患重度牙周病变磨牙拔牙同期实施牙槽嵴保存后的种植修复效果进行评价,证实应用牙槽嵴保存术后种植修复体可维持长期健康稳定,这一结果对牙槽嵴保存的临床应用有十分重要的意义。该研究成果再次发表于《临床口腔种植学研究杂志》(Clinical Oral Implants Research),关键照片被选为2022年7月刊杂志封面(DOI: 10.1111/clr.13949)。


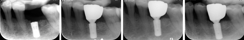
接受拔牙同期牙槽嵴保存术的患者种植手术后即刻、种植修复后1年、2年、3年随访X线片,种植体边缘骨水平稳定,证实牙槽嵴保存术后种植修复体可维持长期健康
2024年1月,题为“Ridge preservation in periodontally compromised molar sockets with and without primary wound closure: A comparative controlled clinical trial”的研究论文又一次发表于《临床口腔种植学研究杂志》(Clinical Oral Implants Research),本研究关键图片第三次被选为该杂志封面(2024年1月刊,DOI: 10.1111/clr.14204)。研究团队在前期研究的基础上,改进牙槽嵴保存手术方法,首创了拔牙同期微翻瓣牙槽嵴保存术,该方法术中创伤小、术后反应小且更易临床操作。本研究将微翻瓣牙槽嵴保存术与传统手术方法进行对比,证实该术式不但能保持并改善拔牙位点牙槽骨的高度、减少牙槽骨吸收,而且有利于保存更多的角化黏膜,为未来种植治疗创造更好的软硬组织条件,更适于临床推广。


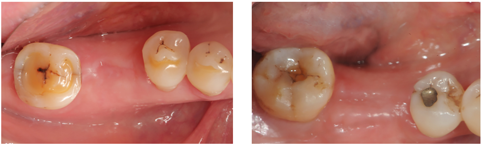
微翻瓣牙槽嵴保存术(左)与传统牙槽嵴保存术(右)相比,愈合后可保存更多的角化黏膜,为种植治疗创造更好的软组织条件
胡文杰教授课题组立足于临床关注的牙周与种植交叉领域热点问题,近十年来从分析重度牙周炎磨牙拔除后牙槽窝的改建规律出发,探索感染牙槽窝拔牙后处理方法,首次证实此类患牙拔牙同期实施牙槽嵴保存术可减少愈合过程中的牙槽骨吸收,实现降低种植治疗难度、提高治疗安全性的目标,且使种植修复体保持长期健康稳定。在此基础上改进手术术式,首创微翻瓣牙槽嵴保存术,该术式更利于临床操作,可减少手术创伤、降低术后反应、更有效地改善软组织条件。此系列研究先后获首都临床特色应用研究、首都卫生发展科研专项、北京大学口腔医院系列临床研究专项基金资助。该系列研究由浅及深,对牙周病的系统诊疗设计和牙周炎患者种植治疗具有十分重要的临床推广价值,这也是北大口腔医学为国际牙周病学界和口腔种植学界所作的一份新贡献。

胡文杰教授课题组牙槽嵴保存系列研究进展历程
胡文杰教授简介:

胡文杰,教授、主任医师,博士研究生导师,北京大学口腔医院副院长,二级教授。现任中华口腔医学会口腔医学教育专业委员会副主任委员、中华口腔医学会八届牙周病学专业委员会副主任委员、中华口腔医学会七届口腔种植专业委员会常务委员、中华口腔医学会三届口腔美学专业委员会常务委员、国家口腔医学中心牙周病专科联盟主任、亚太牙周病学会(APSP)中国国家代表、ITI国际口腔种植学会fellow等。作为项目负责人先后主持国家级和省部级科研项目20项,获得国家发明专利和实用新型专利6项,以第一作者及通讯作者发表论文220余篇,主编、参编和主译专著22部。
(北京大学口腔医院)